
Anatomy and Radiographic Projections
Anatomy and Radiographic Projections of the Human Body
MedicalApp · cl.MedicalApp.AnatomiaRadiologica13
UpdatedMar 28, 2021
PublishedJan 19, 2021
Packagecl.MedicalApp.AnatomiaRadiologica13
MD5497e4f836bb22171b4d07748de05d649
SHA1 (signer)AF:34:65:41:EB:D9:7A:ED:1B:4F:69:A0:13:1F:44:D6:F1:A5:D3:22
Signed byC=CHILE, ST=Santiago, L=Santiago, O=cl.MedicalApp.AnatomiaRadiologica, OU=MedicalApp, CN=Miguel Obaid
Architecturesarmeabi-v7a, arm64-v8a
Malware scanTRUSTED
Contact[email protected]
Description
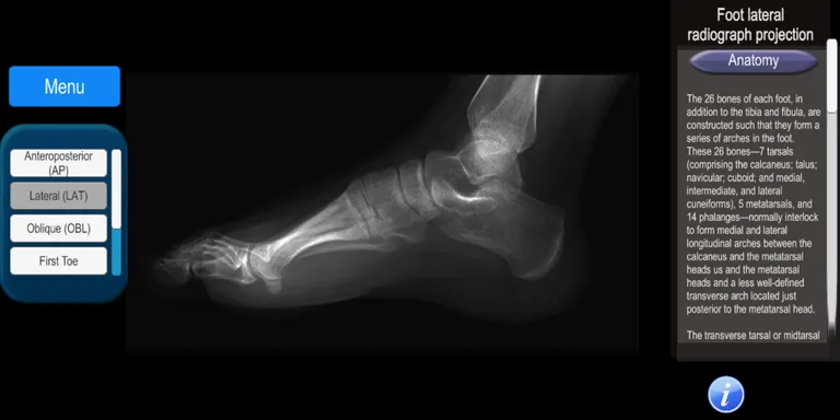
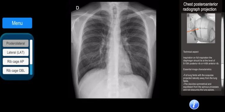
It is an app that allows the user to know the radiological projections that are used daily in a patient care. It covers all areas of the human body with more than 100 digital radiographs: skull, maxillofacial, spine, chest, abdomen, pelvis, upper and lower extremities.
They correspond to radiographs without pathological alterations, which makes it easier for health personnel to recognize the pathologies and choose the appropriate projections for each area.
The anatomy of the studied area is described, as well as the technique used for positioning the radiographic projection.
It allows the user to zoom in or out of the radiographic image.
It is intended for doctors, radiologists, dentists, medical technologists, medical students and for all interested in this matter.
They correspond to radiographs without pathological alterations, which makes it easier for health personnel to recognize the pathologies and choose the appropriate projections for each area.
The anatomy of the studied area is described, as well as the technique used for positioning the radiographic projection.
It allows the user to zoom in or out of the radiographic image.
It is intended for doctors, radiologists, dentists, medical technologists, medical students and for all interested in this matter.
Required features
- Screen Landscape android.hardware.screen.landscape
Permissions (4)
Anatomy and Radiographic Projections requests the following Android permissions:
- Access Network State android.permission.ACCESS_NETWORK_STATE
- Internet android.permission.INTERNET
- Wake Lock android.permission.WAKE_LOCK
- Finsky Permission Bind Get Install Referrer Service com.google.android.finsky.permission.BIND_GET_INSTALL_REFERRER_SERVICE